FieldStrength MRI magazine
Educational - August 2017
Cardiac pacemakers, implantable cardioverter defibrillators (ICDs), or implantable loop recorders are electrically active cardiac devices, which used to be contraindicated for MRI. However, that is no longer the case if the device is labeled MR Conditional [1].
In such cases, the MRI scan must be set up to meet the MR conditions specified by the implant manufacturer. This article addresses questions like: what is the difficulty with active cardiac devices, what are MR Conditional devices, what are the conditions, how to make an MRI scan comply with the conditions and how to design the patient pathway.

Torsten Sommer, MD
Director of the Department of Diagnostic and Interventional Radiology at the German Red Cross Hospital in Neuwied, Germany. As a radiologist he specialized in cardiovascular imaging and MR safety and is the lead author of numerous (inter)national papers on MRI in patients with cardiac pacemakers and implantable cardioverter defibrillators.

Frank Shellock, PhD, FACR, FACC, FISMRM
Adjunct Clinical Professor of Radiology and Medicine and Director for MRI Studies of Biomimetic Microelectronic Systems at the University of Southern California, USA. Additionally he is the Founder of both the Institute for Magnetic Resonance Safety, Education, and Research (www.IMRSER.org) and the MRI safety website

Jürg Schwitter, MD
Professor of cardiac imaging and Director of the Cardiac Magnetic Resonance Centre at the University Hospital CHUV, Lausanne, Switzerland. He is an expert in cardiac MRI, with an extensive research record in the assessment of coronary artery disease, tissue viability, and cardiac mechanics and energetics.

Amit Patel, MD
Associate Professor of Medicine and Radiology and Director of Cardiac Magnetic Resonance and Computed Tomography, at the University of Chicago Medicine, Chicago, USA. He is a cardiologist, specialized in the use of advanced imaging techniques to provide individualized therapies for patients with heart disease.

“It’s long ingrained into the minds of physicians that MRI and implanted cardiac devices don’t mix and they’re contraindicated. However, nowadays, if patients have an active cardiac device that is MR Conditional, they can undergo MRI when needed [2],” says Amit Patel, MD, Director of Cardiac MR and CT at the University of Chicago Medicine.” And the need definitely exists. It has been estimated that due the increased prevalence of cardiac implants and the increased use of MRI, there is a 50-75% probability that a patient with a pacemaker will need an MRI at some point during their life [3].
“Because pacemakers were contraindicated for MRI for many years, I think that a lot of referring physicians may not yet be aware that modern-day MR Conditional active cardiac devices allow patients to undergo MR procedures. So it's partly an educational process to get the general acceptance of patients with MR Conditional cardiac devices,” says Dr. Frank Shellock, PhD, an expert in MR safety.
“Pacemakers and ICDs are complex, electrically active cardiac devices which may interact with the magnetic and electromagnetic fields of an MRI system in different ways. There are basically three main risks,” says Torsten Sommer, MD, Director of the Department of Diagnostic and Interventional Radiology of the German Red Cross Hospital in Neuwied.
“First, the active cardiac device can not differentiate intrinsic heart activity of a patient from pulsed electromagnetic fields of the MRI system. As a consequence, MR scanning may block or inhibit cardiac pacing which may be harmful or even fatal for pacemaker-dependent patients.” “Second, heating of the device leads due to interaction with the radiofrequency (RF) field used in MRI can lead to thermal tissue damage in the heart muscle and irreversible pacing capture threshold increases. The third risk is that the gradient fields used in MRI may induce voltage pulses in the leads that can induce severe cardiac arrhythmias.”
Since the first regulatory approvals in 2008, MR Conditional pacemaker systems have been offered by cardiac device manufacturers. These systems, composed of a pacemaker pulse generator and leads, are tested for MR examination under certain specified conditions. “Understanding of and compliance with the conditions of use for the specific pacemaker system are essential for patient safety,” says Drf. Sommer. “These conditions include limitation of MR parameters such as the specific absorption rate (SAR), the maximum slope/amplitude and the maximum slew rate of the gradient fields. These parameters determine the amount of lead heating induced by the RF fields and the amount of voltage induction in the leads induced by the gradient fields. So, surveillance and limitation are critical.” Robert Kowal, MD, chief medical officer for the Cardiac Rhythm and Heart Failure division at Medtronic, a company that produces MR Conditional implants, explains how low-power pacemakers as well as high-power ICDs were modified to make MR Conditional models of such devices. “The ferromagnetic material was reduced, and the mechanical switch was replaced with a sensor. In addition, filters have been added so that the pulsed electromagnetic MRI fields will not interfere with device functions or induce voltages high enough to stimulate the heart. Finally, the implanted device software includes dedicated protective modes for MR imaging.”
Computer modeling and randomized clinical trials have been used to assess the safety of Medtronic MR Conditional active cardiac devices for full-body MR scans [4,5]. Also for imaging the heart itself safety has been established for MRI scans under specific conditions of patients with an MR Conditional pacemaker [6]. It is shown that acquisition of diagnostic-quality cardiac images is possible in the presence of an MR Conditional implant in the vast majority of patients [7,8].

“It’s absolutely crucial for physicians to understand that many patients now have cardiac devices that are MR Conditional. This means that MRI scanning is possible, but special conditions have to be fulfilled,” says Dr Sommer.
“We are using a dedicated pathway with an established cooperation with the cardiology department and are scanning about 250 to 300 pacemaker and ICD patients a year. So, for us it’s a quite familiar procedure which is fully integrated in the clinical workflow.”

However, many centers appear reluctant to begin imaging patients with MR Conditional cardiac implants. “One reason for this is difficult accessibility of information about the precise conditions of use, which may vary greatly among different device manufacturers. An even more important concern of many radiologists is how to ensure that MR scanning is in compliance with the requested limitations of SAR values of the RF field and maximum gradient slope and slew rate of the gradient fields,” says Dr. Sommer. “So, when patients with MR Conditional cardiac devices contact a radiology department for MRI, they may still experience that acceptance is low. And increasingly, patients are becoming aware of this discrepancy. A patient with an MR Conditional pacemaker may not understand, why he is still refused an MRI exam.” Currently, these patients may have to contact a more “specialized” MRI center which is usually part of a larger tertiary hospital.
When a patient with an MR Conditional active cardiac implant presents, the exact brand and type of the implanted device must first be determined. If the device is MR Conditional, then the next step is to retrieve the implant’s MR conditions that are specified by the implant manufacturer [9-10], for instance from the implant manufacturer’s documentation or website. Just before the MRI scan the implanted device is programmed to safe mode in the cardiology department and it is reprogrammed again after the MR exam. All scan sequences of the MRI exam must to be set up to stay within the limits and conditions specified by the implant vendor.

We have a process in place that includes electrophysiologists, who are experts in these devices, and imaging physicians, who are the experts in imaging,” says Dr. Patel. “Together they have set up a protocol and infrastructure so that the device can be interrogated before and after the MRI and it can be reprogrammed, as necessary, before and after. During the MRI scan, an ACLS (Advanced Cardiovascular Life Support) certified person with some expertise in device programming needs to be present to monitor the patient.” “The screening procedure for patients with cardiac implants can differ between sites,” says Dr. Shellock. “At many sites in the USA, the MRI technologist or radiographer is responsible for screening the patient, identifying an implant and then also looking at the information to determine what the MR conditions are for that particular implant or device. Technologists have the experience and are trained in MRI safety. There may be other MRI safety trained individuals, including imaging nurses, MRI technologist aides, or assistants, who have been appropriately educated and trained enough to handle screening procedures as well.”
Jürg Schwitter, MD, cardiologist at the University Hospital of Lausanne, Switzerland explains that a well-designed patient trajectory is an essential element of providing an MRI service for patients with MR Conditional cardiac implants. “We established a pathway that we have been using for two or three years now. It is particularly important to control the workflow before the patient enters the MR suite. Our pathway helps us avoid waiting time at the machine and makes the technologists feel comfortable. As we do a lot of cardiac MR in the same unit, there is always a cardiologist around that they can consult. I think it's also important to emphasize the cost-effectiveness of our pathway: we manage to have almost no loss of machine time, when scanning pacemaker patients or ICD patients.”

MRI of a patient with an MR Conditional cardiac implant needs to be performed under the MR conditions specified for that particular implant. So, the first step is determining what exactly is implanted in the patient. “To properly determine the particular type of implant that's present, is definitely one of the challenges that are faced during the screening procedure,” says Dr. Shellock. “We need to know if it is a standard pacemaker or one of the specialized MR Conditional cardiac devices, such as an MR Conditional pacemaker [9-10].” “Most of our patients carry a pacemaker card or implant card, which facilitates the process of finding MR conditions,” says Dr. Sommer. “A pacemaker card provides important information, including the manufacturer, the model name and number of the pacemaker itself and the leads. With this information we can contact the manufacturer’s hotline or website to find the MR conditions.”
“When the patient is referred by the cardiologist who implanted the cardiac device, the cardiologist can provide specific information about the type of implant. Sometimes though, additional work needs to be done to identify the specific type of make and model of the implant that's present in the patient, such as reviewing the operative notes of the implantation procedure,” says Dr. Shellock. “In our hospital, the workflow usually starts with a phone call from the patient or the referring physician to our department,” explains Dr. Sommer. “When we understand that the patient has a cardiac device, we send this patient to cardiology to check what device the patient has, and to learn if there are abandoned leads, additional cardiac electrodes or other electrophysiological conditions such as lead defects, low battery status or increased pacing capture thresholds which might be a problem.”
“From the perspective of a cardiologist, establishing the identity of an implant can sometimes be more direct,” says Dr. Patel. “Most electrophysiology clinics will have each of the different device manufacturers’ programmers there, and you can just place the programmer over the chest wall and see if it recognizes the device. There are only a few different manufacturers that would account for the bulk of the patients.” “I think it may be more challenging for an imaging physician to figure out. But I think one of the key messages is: if you’re going to image these patients, it should be done in collaboration with an electrophysiology group of some sort.”


Finding the MR conditions for the specific implant that a patient has is a key step before performing the MRI exam, emphasizes Dr. Shellock. “For example, some MR Conditional, active cardiac devices may have designated conditions that state a field strength 1.5 Tesla, only. Another condition that is usually specified is a maximum SAR value that may not be exceeded during the MRI scan. This information is important to manage those patients properly in order to meet the conditions for a particular cardiac device.” Dr. Sommer says that establishing the scanning conditions for implants can sometimes be a challenge “It’s important to determine if the patient’s full system is MR Conditional. That is not so straightforward, because a pacemaker consists of the implantable pulse generator (IPG) and the electrodes. And it's necessary that all of those are MR Conditional and also that the combination of them is MR Conditional.” “In radiology we check the exact MR conditions for the implant, because not all MR Conditional devices are cleared for full body MRI. With some devices with only partial body approval it’s allowed to scan the head and below the hips. So, basically, radiology and cardiology together have to make sure that the conditions that have to be met are clear,” says Dr. Sommer. “This information is essential to manage these patients properly and to meet the conditions for a particular cardiac device.” Dr. Shellock created and maintains the MRIsafety.com website that provides a lot of information. “We work quite closely with the device manufacturers and encourage them to provide the required information, particularly the MR Conditional statements and the guidelines to follow. MRIsafety.com contains links to many manufacturer websites.”
Dr. Schwitter’s institute in Switzerland schedules an appointment for the patient at the outpatient cardiology department 30 or 45 minutes before the MRI scan. “The patient goes to cardiology to switch the pacemaker to MR scan mode. After we performed the MRI exam, we send the patient back to cardiology for activating the pacemaker program again.” “There is a form that accompanies the patient, which the cardiologist signs at after activating the safe scan mode, and the technologist signs when the scan is done without any problems. Then the patient goes back to cardiology, the MRI-safe mode is switched off, and the cardiologist signs again and sends the form back to our department. In this way we know that everything was okay.” MRI of patients with an MR Conditional implant has become a routine procedure at Dr. Schwitter’s institute. “We do this quite often, several times per week. During the two to three years we have now used this procedure, there was not a single complication[11].”
“If the device is MR Conditional, safe imaging is possible, but only when the implant’s MR conditions are fulfilled. However, even when you know the conditions, it can still be challenging to control these during the MRI imaging,” says Dr. Sommer. “A radiologist or technologist must know how to achieve that on the scanner and how to check that.” “The MR conditions are basically a list of parameter values that need to be met,” says Dr. Shellock. “They first define the static magnetic field strength and frequency that are acceptable. But there are also limits for the SAR value and possibly gradient limitations (slew rate or dB/dt). That information is identified and confirmed prior to scanning the patient. It’s also necessary to determine if any special conditions must be met with regard to the type of transmit coil that's used.” “MR users need to make sure that the particular conditions can be met. In the USA it is usually the MRI technologist who has to make sure that scanning parameters are properly selected to meet the conditions for a particular cardiac device and, but I think it’s often a challenge on how exactly to do that.” Dr. Sommer shares this view. “The radiologist or technologist has to know how to control that the implant’s MR conditions are met, for instance SAR and gradient limits, and actually, that is not easy. I'm very glad that MRI companies are working on the subject and offer a user interface such as Philips ScanWise Implant to make it easier for users to control the relevant MR parameters for safe scanning of patients with these MRI Conditional devices.”

“I see MRI equipment manufacturers willing to help out and becoming more of a partner with the MRI healthcare workers with regard to situations where implants are present,” says Dr. Shellock. “The Philips ScanWise user interface is a great tool.” Philips has developed ScanWise Implant to simplify scanning of patients with MR Conditional implants. It guides the user when entering the implant’s conditional MR values. Values such as maximum spatial gradient field, SAR, B1+rms, dB/dT or slew rate can be entered as specified by the implant vendor, without the need for side calculations. It provides a graphical representation of the area exceeding the maximum spatial gradient field value to help guide the MR operator to position the patient in the scanner’s bore. ScanWise Implant automatically applies these values for the entire examination. There is no need to check each individual sequence.


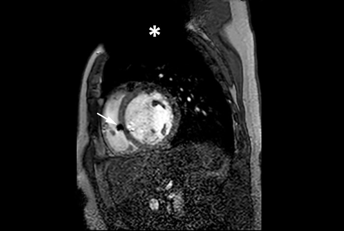
A patient with an MR Conditional ICD and suspected myocarditis presented for MRI. This short axis view of the heart is created with an SSFP (steady state free precession) sequence on a Philips Achieva 1.5T system. The cardiac MRI exam reveals normal dimensions and regular function of the right and left ventricle. Note the ICD lead in the right ventricle (arrow) and the signal void in the left pectoral region, indicating the ICD-IPG (asterisk). Courtesy of Dr. Sommer.
With the increasing prevalence of implants in an aging population, and increasing demand for MRI in the same group, there will increasingly be called upon imaging centers to be capable of scanning this patient group. Opening up the possibilities for patients with MR Conditional implants in need of an MRI scan requires educational initiatives for changing the perception that implanted cardiac devices are always a contraindication for MRI. Recognizing that a significant barrier for scanning MR Conditional device patients is the care pathway, Medtronic offers tools and training to assist hospitals, according to Dr. Kowal. Facilitating collaboration between cardiology and radiology, the company assists in helping institutions implement a care pathway that works for that location.

“In Germany information and education on performing MRI of patients with active cardiac devices is available to those who look for it [12,13]. The joint consensus paper of the German Roentgen Society and the German Cardiac Society provides physical and electrophysiological background information and specific recommendations for the management of patients with cardiac devices, outlining the responsibilities of radiology and cardiology regarding patient education, indications, monitoring and device reprogramming,” says Dr. Sommer. “In the end, I think three things are important for safe and successful MR imaging of patients with active MR Conditional cardiac devices. First, verification that the device is MR Conditional and knowing the exact conditions of use. Second, establishing a pathway for managing the patient in close collaboration between radiology and cardiology. Then third is controlling – meaning monitoring and modifying if necessary – the safety-relevant physical MR parameters to make sure that the implant’s conditions of use are met during MRI scanning. In this context it’s of great help that Philips ScanWise Implant offers a user interface that makes it easy for the user to make the MRI scanner meet the implant’s conditions.”
References
1. ASTM F2503-13, Standard Practice for Marking Medical Devices and Other Items for Safety in the Magnetic Resonance Environment, ASTM International, West Conshohocken, PA, 2013, www.astm.org*.
2. Scanning patients with MR Conditional implants. Philips FieldStrength; December 2015. https://www.philips.co.uk/healthcare/education-resources/publications/fieldstrength/mri-and-mr-conditional-implants.
3. Kalin R, Stanton MS. Current clinical issues for MRI scanning of pacemaker and defibrillator patients. PACE 2005;28:326-328.
4. Gimbel JR, Bello D, Schmitt M, et al. Randomized trial of pacemaker and lead system for safe scanning at 1.5 Tesla. Heart Rhythm. 2013;10:685-91
5. Shenthar J, Milasinovic G, Al Fagih A, et al. MRI scanning in patients with new and existing CapSureFix Novus 5076 pacemaker leads: randomized trial results. Heart Rhythm. 2015;12:759-65.
6. Wollmann CG, Thudt K, Kaiser B, et al. Safe performance of magnetic resonance of the heart in patients with magnetic resonance conditional pacemaker systems: the safety issue of the ESTIMATE study. J Cardiovasc Magn Reson. 2014 May 6;16:30
7. Schwitter J, Gold MR, Al Fagih A, Lee S, Peterson M, Ciuffo A, Zhang Y, Kristiansen N, Kanal E, Sommer T; Evera-MRI Study Investigators. Image quality of cardiac magnetic resonance imaging in patients with an implantable cardioverter defibrillator system designed for the magnetic resonance imaging environment. Circ Cardiovasc Imaging. 2016;9:pii: e004025.
8. Schwitter J, Kanal E, Schmitt M, Anselme F, Albert T, Hayes DL, Bello D, Tóth A, Chang Y, van Osch D, Sommer T. Impact of the Advisa MRI™ Pacing System on the diagnostic quality of cardiac MR images and contraction patterns of cardiac muscle during scans: Advisa MRI randomized clinical multicenter study results. Heart Rhythm. 2013;10:864-72 9. Colletti P, Shinbane J, Shellock FG. “MR Conditional” pacemakers: The radiologist’s role in multidisciplinary management. American Journal of Roentgenology 2011;197:457-459. 10. Shinbane J, Colletti P, Shellock FG. Magnetic resonance imaging in patients with cardiac pacemakers: Era of “MR conditional” designs. J Cardiovasc Magn Reson. 2011;13:63. 11. Luechinger R, Schwitter J, Bruder O. Protocol for MR-conditional PMs or ICDs. CMR-Update, 2nd ed. 2012, p38, Lausanne, Switzerland, www.herz-mri.ch 14. Indik JH, Gimbel JR, Abe H, et al. 2017 HRS expert consensus statement on magnetic resonance imaging and radiation exposure in patients with cardiovascular implantable electronic devices. Heart Rhythm. 2017;14(7):e97-e153.
12. Sommer T, Luechinger R, Barkhausen J, Gutberlet M, Quick HH, Fischbach K; German Roentgen Society Statement on MR Imaging of Patients with Cardiac Pacemakers. Rofo. 2015;187: p781-782.
13. Sommer T, Bauer W. et al. MR Imaging in Patients with Cardiac Pacemakers and Implantable Cardioverter Defibrillators. Fortschr Röntgenstr 2017; 189: p211-212.
* When clicking this link you are leaving our website to access external pages over which Philips has no control and does not endorse.

You are about to visit a Philips global content page
Continue