You’ve got a lot on the line, clinically and economically. Accelerate clinical efficiency with innovative echocardiography offerings that work harder to help care teams work smarter, before, during and after procedures.
Advance your echocardiography program to its fullest potential. Consult with a Philips Healthcare sales representative today.
More than ever, today’s new normal is challenging echocardiography departments to increase quality of care over more patients, and do it more efficiently.
Work smarter—and collaborate with Philips.
We are here for you, making it easy to achieve quality results more consistently with advanced visualisation and quantification tools, automating repetitive tasks with AI and providing insightful information where and when it’s needed most.

New developments in AI and advanced automation, combined with intelligent information management, are making it easy to assess heart function with echocardiography. Three leading physicians explain how.
The estimated current worldwide prevalence of heart failure is 64.3 million cases, with an economic burden of $346.16 billion.1 Clearly, new answers are needed.
1 Lippe G, Sanchis-Gomar F. Global epidemiology and future trends of heart failure. AME Med J. 2020;5:15.
See how Philips intelligence is enabling care teams to work with enhanced efficiency throughout echocardiography from the time a physician orders the exam to study completion, billing and referral.
A single point of access to images and information anytime and virtually anywhere.* Perform comprehensive analysis, quantification and reporting for fast, informed decision making.
Decrease deployment costs and save time while interfacing to existing systems through our zerofootprint technology and interoperability.
Open dialogue and ongoing collaboration are critical for advancing echocardiography workflow. Learn more about what your peers are experiencing by partnering with Philips.
That’s the fantastic part about Collaboration Live: I can be in the lab reading studies and then helping the surgeons when they want to talk to me at the same time prior to their surgery.”
Dr. Pei-Ni Jone
Professor of Pediatrics, Pediatric Cardiology Children’s Hospital Colorado, University of Colorado School of Medicine Aurora, Colorado, USA
Stay on top of what’s happening in cardiac diagnostics by partnering with Philips. You’ll find a host of useful resources to keep you up to date.

Dr. Roberto Lang, University of Chicago, Chicago, Illinois USA
Cardiac implications of COVID-19
Automated strain tools can simplify assessment of right ventricular function, impacting care pathways of patients with COVID-19.

Dr. Teresa Lopez-Fernandez, La Paz University Hospital, Madrid, Spain
Using advanced ultrasound tools to assess CTRCD
Time-consuming methods are overcome by applying Philips Anatomically Intelligent Ultrasound (AIUS) to cardiotoxicity prevention.

Dr. Pei-Ni Jone. Children’s Hospital Colorado. Aurora, Colorado
Expanding access to expertise in echocardiography
Collaboration Live allows physicians to review images and provide guidance in real time without being physically present.

Miami Cardiac & Vascular Institute, Baptist Health South Florida, Miami, Florida USA
Partnering in data-driven innovation
Making data transparent to everyone and creating an environment where they can discuss the findings helps build strong teams.

Professor Alex Lee, Prince of Wales Hospital, Hong Kong, China
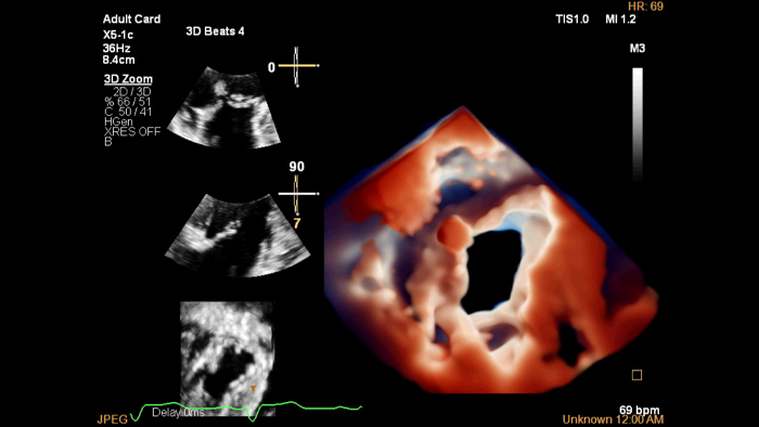
Photorealistic imaging in 3D echocardiography
A virtual light source highlights structures and facilitates depth perception for enhanced interpretation of heart disease images.
Discover more ways we can help you manage your cardiology patients with higher quality and efficiency throughout their care journey.
You are about to visit a Philips global content page
Continue