Our Vascular suite provides workflow options, dedicated interventional tools, and a broad selection of advanced vascular devices to improve procedural efficiency and redefine outcomes for your patients with aortic disease. They support each step of your procedure – as you decide, guide, treat and confirm treatment results.

Highlighted products for this procedure

SmartCT Soft Tissue

SmartCT SoftTissue - CT-like visualisation of soft tissue, bone and vascular structures

Get step-by-step guidance to simplify CBCT acquisition

Interact with your CBCT image at table side

Access advanced 3D measurements at table side

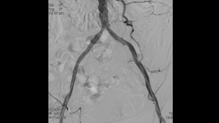
CBCT Open

CBCT Dual in liver imaging

SmartCT Soft Tissue is an X-ray acquisition technique that generates a CT-like visualisation of soft tissue in relation to other structures during procedures – all controlled via the touch screen at the table. You can use the CT-like images to assess soft tissue, bone structure and stent deployment before, during and after interventional procedures. This technique is particularly useful to check for complications after (complex) EVAR procedures.

VesselNavigator CTA image fusion guidance

VesselNavigator – reduce need for contrast

VesselNavigator provides an intuitive and continuous 3D roadmap based on existing CTA and MRA datasets to guide you through vasculature during aortic procedures. One study1 showed an average of 170 ml contrast reduction during endovascular repair of complex aortic aneurysms with the use of VesselNavigator CTA image fusion guidance.2 Another study showed a reduction in average procedure time from 6.3 to 5.2 (1.1) hours during FEVAR/BEVAR with VesselNavigator CTA image fusion guidance.3

CX50 ultrasound system

CX50 ultrasound system

A realistic visualisation of arterial vasculature is required to effectively access the arterial system. Our integrated CX50 ultrasound system provides premium quality images of the radial artery and veins to support radial access interventions.

After one month of usage, we have passed the point where the clinical value of VesselNavigator outweighs the investment we made.”

Prof. Dr. F. Vermassen

University Hospital Ghent

    Customer experiences with Philips Azurion image-guided therapy platform

    The ability to treat one more patient per day, or in the future


    This is just one of the many improvements in lab performance achieved by the Interventional Vascular Department at St. Antonius Hospital after installing the Azurion system. The first Azurion lab performance study achieved impressive results which have been verified by an independent third party.*

    Azurion 7 C20 with FlexArm

    28%
    reduction in post-procedure time4

    17%

    reduction in procedure time4

    44%

    increase in usage of supporting software tools4

    12%
    reduction in patient preparation time4

    25%
    reduction in planned cases finished after normal working hours4

    Aortic disease solutions

    Philips Azurion

    Philips Azurion

     

    With Philips Azurion a breakthrough in workflow improvement has been realised, resulting in proven efficiency.  With the ever growing number of patients with aortic disease, Azurion offers a number of workflow innovations designed to help vascular teams work efficiently and consistently, while maintaining a single-minded focus on the patient and managing radiation dose during interventions.

    IVUS enhances disease assessment

    Intravasular Ultrasound (IVUS)

    Intravascular ultrasound (IVUS) is a catheter-based imaging technology that allows physicians to visualise blood vessels from the inside out to aid assessment of presence and extent of disease. IVUS helps to decide, guide and confirm the right interventional treatment for each patient.

    2D DSA with ClarityIQ technology

    2D DSA with ClarityIQ

    Visualises high-definition images of vessels with outstanding vascular detail to support precise treatment strategies, navigation and follow-up.

    Explore the various image-guided vascular procedures

    • Peripheral arterial interventions

      Peripheral arterial interventions

      Solutions for peripheral arterial interventions (PAD) procedures offered by Philips image-guided therapy.

      Learn more
    • Venous procedures

      Venous procedures

      Solutions for Venous procedures offered by Philips image-guided therapy.

      Learn more

    Disclaimer

    Product availability is subject to country regulatory clearance. Please contact your local sales representative to check the availability in your country.

     

    References

    1. Results from case studies are not predictive of results in other cases. Results in other cases may vary.

    2. Tacher V, et al. Image guidance for endovascular repair of complex aortic aneurysms: comparison of two-dimensional and three-dimensional angiography and image fusion. J Vasc Interv Radiol. 2013 Nov;24(11):1698-706. doi: 10.1016/j.jvir.2013.07.016.

    3. Sailer AM, et al. CTA with fluoroscopy image fusion guidance in endovascular complex aortic aneurysm repair. Eur J Vasc Endovasc Surg. 2014 Apr;47(4):349-56. doi: 10.1016/j.ejvs.2013.

    4. Results are specific to the institution where they were obtained and may not reflect the results achievable at other institutions.

     

    * Results are specific to the institution, where they were obtained. Results in other institutions may vary.

    We are always interested in engaging with you.

    Let us know how we can help.

    1
    Select your area of interest
    2
    Contact details

    You are about to visit a Philips global content page

    Continue

    You are about to visit a Philips global content page

    Continue

    Our site can best be viewed with the latest version of Microsoft Edge, Google Chrome or Firefox.