
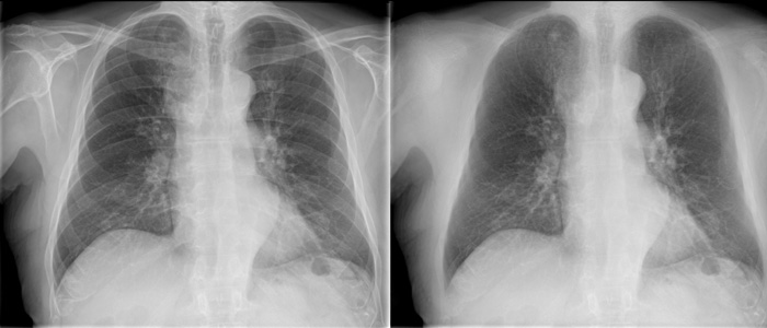
Innovative image enhancement technology designed to increase the clarity of adult erect chest radiographs by suppressing bones on digital images.

A grid-less workflow with SkyFlow Plus.
*Not all packages are available for all DXR systems.
You are about to visit a Philips global content page
Continue