Cardiology
av category background image

IntelliSpace Portal clinical portfolio

We are always interested in engaging with you.

Let us know how we can help.

1
Select your area of interest
2
Contact details

MR Cardiac for detailed quantification of cardiac function

mr cardiac youtube video thumbnail

Discover how Advanced Visualization Cardiac clinical portfolio helps you assessing myocardial function, volume, and scaring.

Redefining the game in advanced visualisation cardiology

Diagnose and monitor heart diseases in a comprehensive manner. 3D models, maps, and other quantitative tools offer quick analysis support, designed to support diagnostic work. Bring advanced diagnostic imaging closer to the interventional suite by integrating your Allura / Azurion Interventional Suite with IntelliSpace Portal which automatically retrieves patient data from Portal for your scheduled patients.

Calcium Scoring

CT Calcium Scoring

One-click 3D calcium segmentation

One-click 3D segmentation and quantification for coronary arteries calcifications including mass, Agatston, and volume scores.

calcium scoring thumbnail

Benefits

  • Calcium scoring is achieved by performing automatic calculations on CT HU values in user-defined regions of interest.
  • Supports ECG-gated and non ECG-gated images in DICOM format from Philips and other vendors (mass score can only be calculated for Philips CT scanners).
  • The application incorporates parameters from the MESA (Multi Ethnic Study of Atherosclerosis) database.

Cardiac Plaque Assessment

CT Cardiac Plaque Assessment

Evaluate coronaries plaque

Enables performing cross-sectional measurements along the coronary arteries, and automatically calculates regional and global quantities of plaque volume.

cardiac plaque assessment thumbnail

Benefits

  • Provides automatic color-coded visualization of plaque content areas on vessel cross-sectional images.
  • The user has the ability to edit the automatic results.

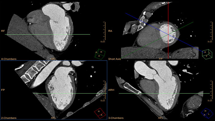
Cardiac Viewer

CT Cardiac Viewer

Quick cardiac visualization

Provides a set of tools for the visualization of one or multiple cardiac phases using original images or MPR\MIP images in axial, coronal, sagittal or dedicated cardiac axes (short axis, horizontal long axis, and vertical long axis).

cardiac viewer thumbnail

Benefits

  • Automatic removal of the rib-cage structures enables a 3D anatomical Volume Rendering image of the heart and the large blood vessels connected to it.
  • The Viewer supports basic measurements as well as basic ventricular functional analysis based on “Area-Length” method to estimate end systolic volume (ESV), end diastolic volume (EDV), cardiac output (CO), and ejection fraction (EF).

Comprehensive Cardiac Analysis (CCA)

CT Comprehensive Cardiac Analysis (CCA)

Comprehensive cardiac analysis

Designed to assist the user in viewing, analyzing and quantifying dedicated Cardiac CT Angiograms, mainly for coronary arteries analysis on Coronaries CT Angiogram (CCTA) data.

comprehensive cardiac analysis thumbnail

Benefits

  • Cardiac function measurements based on automatic 3D model-based whole-heart segmentation.
  • Automatic extraction and visualization of the coronary tree.
  • The user can edit and modify the segmentation and the derived parameters.

MI Fusion

CT-MI Fusion

Fusing cardiac CT-MI images

Cardiac CT-MI Fusion incorporates support for myocardial perfusion imaging (MPI).

ct mi fusion

Benefits

  • Allows loading both gated and un-gated rest, and gated and
    un-gated stress MI datasets simultaneously with the CT.
  • The MI images are displayed in the short axis and the two long axis planes.
  • The axes definition is derived from the CT study.

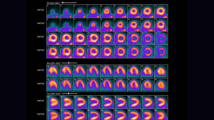
Dynamic Myocardial Perfusion (DMP)

CT Dynamic Myocardial Perfusion (DMP)

Dynamic color maps provide an assessment of myocardial risk

Provides automatic and manual tools to help visualize and assess signal intensity differences (in Hounsfield Unit) focusing on the left ventricular myocardium, providing quantitative myocardial perfusion measurements for CT images.

dynamic myocardial perfusion thumbnail

Benefits

  • Supports axial, ECG-gated CTA images, consisting of multiple time shots within the same acquisition of the myocardial region over time (i.e. dynamic CT scans), after an injection of intravenous contrast.
  • Automatic and manual tools providing quantitative myocardial perfusion parameters such as: Peak Enhancement, Time To Peak, Perfusion and Blood Volume, and provides color maps representation of the results and graphical representation of intensity curves.

EP Planning

CT EP Planning

EP procedures planning

CT EP Planning allows electrophysiologists to quickly identify anatomy relevant to the EP procedure.

ep planning thumbnail

Benefits

  • Provides, overall assessment of pulmonary veins, left atrial, and appendage anatomy, enabling the electrophysiologist to identify anatomy that may complicate the EP procedure.

Myocardial Defect Assessment

CT Myocardial Defect Assessment

Assessing myocardial defects

Relies on the automatic 3D model-based whole-heart segmentation from the CCA application to provide visual and quantitative assessment of segmented, low-attenuation areas within the left ventricle myocardium from a single, gated cardiac CTA scan.

 myocardial defect assessment

Benefits

  • Volumetric visualization of coronary arteries along with segmentation maps can be displayed as an overlay on top of a 3D myocardial surface.
  • Quantitative information includes volume of low attenuation areas within the myocardium and their percentage out of the total myocardial volume.

Spectral Advanced Vessel Analysis

CT Spectral Advanced Vessel Analysis

IQon Spectral CT Functionality

Benefits

  • Bone removal on different energy levels.
  • Spectral plots to characterize plaque and stenosis.
  • Different energy results comparison.
  • Evaluation of the extent of lumen occlusion.

spectral advanced vessel analysis thumbnail
Spectral Comprehensive Cardiac Analysis

CT Spectral Comprehensive Cardiac Analysis

IQon Spectral CT Functionality

Provides the ability to run cardiac segmentation on different energy levels, compare vessel curves with various spectral data types, and enhance the visual assessment of coronary vessel patency.

spectral comprehensive cardiac analysis

Benefits

  • Automatic chamber and coronary segmentation using mono-energetic images.
  • Beam hardening reduction for: perfusion deficits visualization and calcified plaque visualization.

Spectral Light Magic Glass

CT Spectral Light Magic Glass

Review spectral data in a range of not spectral-enhanced CT applications

Allows retrospective use of spectral data that was saved in a series of spectral base images (SBI).
 

The fast launch of LMG allows review and identification of the most relevant results to be launched into the application for further analysis.

spectral light magic glass thumbnail

Benefits

  • The option is available from the following applications: Brain Perfusion, Functional CT, Liver Analysis, PAA, TAVI, Acute Multifunctional Review, Virtual Colonoscopy.
  • Spectral Magic Glass can be launched only for CT images or images created on the Philips IQon Spectral CT.

Spectral Magic Glass on PACS

CT Spectral Magic Glass on PACS*

IQon Spectral CT Functionality

IQon Spectral CT is the only scanner to offer CT Spectral Light Magic Glass and CT Spectral Magic Glass on PACS, helping radiologists review and analyze multiple layers of spectral data at once, including on their PACS.

spectral magic glass on pacs thumbnail

Benefits

  • On-demand simultaneous analysis of multiple spectral results for an Region Of Interest (ROI).
  • Integrates into a health system’s current PACS setup for certain PACS vendors.
  • Spectral results viewable, during a routine reading.
  • Enterprise-wide spectral viewing and analysis allows access to capabilities virtually anywhere in the organization.

* Standard with the CT Spectral option on IntelliSpace Portal.

TAVI Planning

CT TAVI Planning

CT imaging in TAVI to advance patient care

Provides 2D and 3D visualization and automated measurements designed to assist in proper TAVI-device sizing, on contrast-enhanced, prospectively ECG-gated axial or retrospectively gated helical CT images.

tavi planning thumbnail

Benefits

  • Area and diameter calculations for the aortic annulus, LVOT, sinotubular junction, sinus of valsalva and ascending aorta planes, as well as distance to coronary ostia from the annulus plane.
  • Tools such as inspection of minimal diameter, calcifications and vessel tortuosity, to assess the peripheral vessels along the access route.
  • 3D segmentation and visualization of aortic valve calcifications.

3D Modeling

3D Modeling

Streamlined modeling workflow

Allows to view volumetric images of anatomical structures, perform segmentation, edit and combine segmented elements (tissues) into a 3D model.

3d modeling thumbnail

Benefits

  • Studies of CT & MR can be used for creating a single 3D model of the same patient. The application provides tools that allow the user to align between the volumes of interest in the images.
  • 3D Modeling batches files can be easily exported in standard formats such as STL, with the option to also provide a 3D PDF as an additional means for results sharing with 3D printing or other services* .
  • The user may determine the information related to the exported elements of the 3D model such as smoothness and output mesh size.
  • Contours can also be exported as RT Structures.

*3D models are not intended for diagnostic use.

Advanced Vessel Analysis (AVA)

Multi Modality Advanced Vessel Analysis (AVA)

Comprehensive vascular analysis planning

Designed to examine and quantify different types of vascular lesions from CTA and MRA scans. It accommodates different modes of inspection, allows labeling different vascular lesions, and helps navigating through multiple findings.
 

Demonstrated to reduce the post-processing time by 50% when compared to manual Head & Neck CT angiography (CTA) analysis*.

advanced vessel analysis thumbnail

Benefits

  • Ability to choose which Head & Neck Bone Removal method to be used (Standard vs. Smooth).
  • Customizable Volume rendering “smoothness” for the 3D Head & Neck vascular structure using a smoothness control.

* Ardley N et al. Efficacy of a new post processing workflow for CTA head and neck. ECR 2013 / C-1760.

Cardiac

MR Cardiac

Detailed quantification of cardiac function

Includes a viewer and functional analysis. The MR Cardiac Viewer allows side-by-side review of single, multiple or all available cardiac series in a default or in a user-defined viewing protocol. It automatically links multiple series in respect to DICOM geometry, zoom/pan, time and position link for qualitative assessment and analysis in AHA 17 segment templates of the MRC data types. It supports basic measurements and screen captures.

cardiac thumbnail

Benefits

  • The application provides semi-automatic and manual tools for segmentation.
  • Results are calculated based on the Simpson method. The user has an option to apply automatic papillary muscles extraction if desired.
  • Results tables can be configured by the user, and values indexed by Body Surface Area (BSA).
  • RV segmentation workflow is simplified to be harmonized with LV, and enhance visibility of the phase-prorogation capability.
  • Left ventricle volumetric analysis based on single or multi-slice, multi-phase or real-time dynamic 2 Chambers and/or 4 Chambers long axis image acquisitions is also supported based on the Area Length Ejection Fraction (ALEF) single or bi-planar method.
  • All results and screen captures can be collected, saved and exported by the user in a Findings Navigator functionality.

Cardiac Quantitative Mapping

MR Cardiac Quantitative Mapping

Assess myocardial tissue characteristics

The MR Cardiac Quantitative Mapping helps you assess and review myocardial tissue characteristics in multiple, user-defined, field-strength specific lookup tables.

cardiac quantitative mapping thumbnail

Benefits

  • Review global and diffuse myocardial pathologies by means of T1 maps, T2 maps, and T2* maps.
  • Manual and automatic motion correction tools are provided which may enhance map calculations.
  • Expended acquisitions support: Molli, shMolli, SASHA, T2prep.

Cardiac Temporal Enhancement

MR Cardiac Temporal Enhancement

Support assessing temporal enhancements of the myocardium

Facilitates myocardial analysis of dynamically resolved cardiac data (multi-slice, dynamics) and enables comparison of rest and stress studies.

cardiac temporal enhancement thumbnail

Benefits

  • Results are presented using either the AHA standardized or adapted bull’s eye views.
  • The package includes a correction algorithm and manual tools to correct frame-to-frame heart displacements caused by breathing.

Cardiac Whole Heart

MR Cardiac Whole Heart

Detailed 3D visualization of the segmented heart

Allows 3D visualization of the heart and vessels anatomy on T1 3D or MRA acquisition. Manual editing tools as well as semi-automatic tools based on seed- and mask-based segmentation can be used as well as full automatic model-based heart segmentation.

cardiac whole heart thumbnail

Benefits

  • The segmentation can be manually corrected with editing tools until the user has reached the defined image details.
  • The 3D visualization can be saved with a batch tool or the user can create and export the segmented objects in VTK or STL format.

QFlow

MR QFlow

Visualizing and quantifying blood flow dynamics

Supports visualization and quantification of blood flow dynamics by assisting in review of MR phase-contrast data, on vascular region of interest segmented manually, or semi-automatically. Qflow analysis is integrated as part of MR Cardiac Suite allowing flow and functional analysis in one suite with combined reporting.

mr qflow

Benefits

  • Quantification includes the following parameters: stroke volume, regurgitant fraction, forward and backward flow volumes, flux, stroke distance, mean velocity, maximum velocity, minimum velocity, peak velocity, vessel area, peak pressure gradient, E/A ratio and deceleration time.
  • The application supports manual background Correction (BC) to correct for phase (velocity) offset.

Astonish Reconstruction

NM Astonish Reconstruction

Enhance SPECT resolution

NM Astonish Reconstruction is an advanced reconstruction option that uses a matched dual filtering technique to minimize noise and improve reconstructed image resolution and uniformity.

astonish reconstruction thumbnail

Benefits

  • Enables half-time cardiac SPECT imaging using supported Philips systems for improved workflow efficiency while maintaining image quality.
  • By improving signal-to-noise ratio, it can provide equivalent image quality which may shorten SPECT scan times to achieve increased throughput, enhanced patient comfort, and reduced motion-induced artifacts.
  • NM Astonish Reconstruction is compatible with the following Philips cameras only: CardioMD (acquisition software v2.x), Forte, BrightView, BrightView X,BrightView XCT, SkyLight, and Precedence.
  • Can be applied to SPECT studies using Tc-99m, TI-201, In-111, Ga-67, I-123, or I-131 and used for most Molecular Imaging procedures.
  • A CT attenuation map can be used in conjunction with NM Astonish Reconstruction to provide attenuation correction.

Cedars-Sinai Cardiac Suite 2017

NM Cedars Sinai Cardiac Suite 2017*

Advanced cardiac quantification

Provides comprehensive cardiac quantification tools for gated, perfusion, and blood pool SPECT and quantitative PET. The Cedars-Sinai Cardiac Suite 2017 application provides efficient workflow for study interpretation with integration of perfusion and function.

cedars sinai cardiac suite 2015 thumbnail

Benefits

  • Automated RV contouring, quantification and analysis.
  • Manual perfusion polar map defect editor.
  • User customizable viewing layouts.
  • Enhanced Phase Analysis algorithm, Smart Launch, color pallet editor.
  • QGS, QPS, QBP analysis.
  • QPET analysis.

* Not available for sale in all countries. Please check for availability in specific countries.

Corridor4DM 2018

NM Corridor4DM 2018*

SPECT and PET cardiovascular quantification, review, and reporting

Designed for advanced cardiovascular quantification and image display, and includes intelligent workflow and quality assurance measures for increased confidence. Quantifies myocardial perfusion, function, and viability using multiple review screens, with integrated reporting through customizable templates.

corridor thumbnail

Benefits

  • Quantifies, displays, and provides reporting for SPECT and PET myocardial perfusion and function, PET FDG metabolism, and SPECT blood pool studies in a single, configurable application.
  • Provides tools to generate and review DICOM static and multi-frame secondary screen captures.
  • Configurable for different workflows, protocols, and preferences.
  • LV surface estimation and quantification.

* Corridor4DM is a registered trademark of Invia, LLC.

Emory Cardiac Toolbox (ECTb) SyncTool

Emory Cardiac Toolbox (ECTb) SyncTool*

Assess cardiac mechanic dyssynchrony

Emory Cardiac Toolbox (ECTb) SyncTool provides an objective evaluation of left ventricular (LV) dyssynchrony using phase analysis.

ectb synctool thumbnail

Benefits

  • Provides additional prognostic information that can be obtained from 3D perfusion images, such as the presence and location of scar tissue.
  • Review screen includes phase polar maps, phase histograms, and a summary of systolic wall thickening analysis including peak phase and standard deviation of the phase distribution.

*Emory Cardiac Toolbox, ECTb, HeartFusion, and SyncTool are registered trademarks of Emory University.

Emory Cardiac Toolbox (ECTb) HeartFusion

Emory Cardiac Toolbox (ECTb) HeartFusion*

Evaluate fused coronary anatomy

Emory Cardiac Toolbox (ECTb) HeartFusion offers fusion of a patient’s coronary tree from cardiac CT angiography with MI perfusion images.

ectb heartfusion thumbnail

Benefits

  • Helps correlate stenosis with perfusion defects and identify muscle mass at risk.

*Emory Cardiac Toolbox, ECTb, HeartFusion, and SyncTool are registered trademarks of Emory University.

Emory Cardiac Toolbox (ECTb) v4.2
Mirada Viewer

Mirada NM Viewer: Mirada XD 3.6*

Enhanced user experience for NM reading with a leading NM viewing solution

A comprehensive NM solution, designed to enhance productivity of PET/CT and NM reading. It offers a solution for handling multiple studies requiring rigorous quantification of MV data**.

mirada viewer thumbnail
mirada viewer thumbnail 2

Benefits

  • Quick and configurable protocols for efficient reading.
  • Lesion tracking and treatment response.
  • Exportable tables and graphs.
  • PET\CT and PET\CT\MR registration.

* Mirada is a registered trademark of Mirada inc.
** Please contact local Philips representative for details on multivendor coverage.

Viewing (in MMV)

XA Viewing (in MMV)

Comprehensive reviewing tool for multiple modalities, all in a single viewer

The Multi Modality Viewer (MMV) now supports viewing and post processing of angiography images and series. Review and perform analysis of angiographic imaging alongside other modalities for a comprehensive review of the patient case. Perform vascular processing of images (Digital Subtraction Angiography) – subtraction, pixel shifting and land marking. Include key images into the generic MMV report. Prior to the intervention, relevant diagnostic (MR and or CT) data can be bookmarked and automatically retrieved upon patient selection in the Allura, or the Azurion suites.

xa viewing

Benefits

  • Enable a comprehensive review of a patient case across all modalities –  CT/MR/NM/US/Angio – in a single environment.
  • Advance viewing and post-processing (DSA) of angiographic images and series.
  • Annotate and perform basic measurements on images (provided the image is pre-calibrated).
  • Automatic retrieval of relevant diagnostic (CT and/or MR) data to support the intervention using iBookmark.
  • Reporting also supported; key images can be send to an MMV generic report.

*

Contact information

* This field is mandatory

*
*
*
*
*
*
*
*
*

By specifying your reason for contact we will be able to provide you with a better service.

We work with partners and distributors who may contact you about this Philips product on our behalf.

*
*

Final CEE consent

You are about to visit a Philips global content page

Continue

You are about to visit a Philips global content page

Continue

Our site can best be viewed with the latest version of Microsoft Edge, Google Chrome or Firefox.