

Today's diagnostics often cannot detect heart dysfunction until symptoms occur. MyoStrain utilises segmental strain to measure 48 segments of the heart and provides physicians with a unique diagnostic tool to help identify regional dysfunction before the heart as a whole is affected.

Head of Cardiac MRI/Director MRI Core Lad for the German Heart Center Berlin & Charite University Medicine Berlin, Germany
Professor of Cardiac MRI,

Associate Professor of Internal Medicine, for LSU Health New Orleans, USA
Associate Professor of Clinical Radiology,
Strengthening clinical confidence and cardiac imaging efficiency In this webinar, Prof. Sebastian Kelle and Prof. Raman Danrad are sharing their experiences utilising a 1.5T MR system and spectral CT for improved cardiac imaging. They are also discussing the perspectives on the current impact of COVID-19 and talk about new clinical guidance for managing the disease into its post acute phase.

Due to the design of the BlueSeal magnet there is a negligible energy transfer from gradient coil to the magnet. This allows to maintain perfect B0 stability overtime which is especially beneficial for B0 sensitive acquisitions like cardiac bTFE sequences.

IntelliSpace Portal offers a Comprehensive Cardiac MRI Suite, providing dedicated workflows for functional analysis, viability, LGE, cardiac mapping assessment and RV/LV functional analysis in less than 5 min. per case1.

Addition of Compressed SENSE to your cardiac exams reduces the time spent in the MRI scanner for the patient and enables the reduction of breath hold times while maintaining virtually equal image quality4. Compressed SENSE is applicable to both 2D and 3D acquisitions.

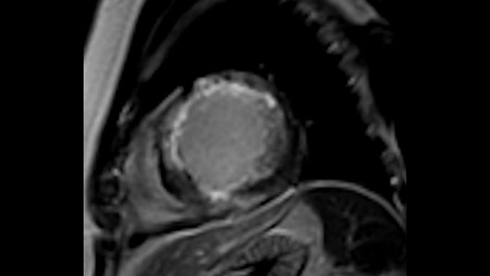
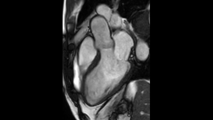
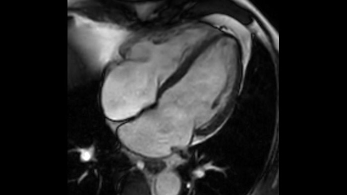
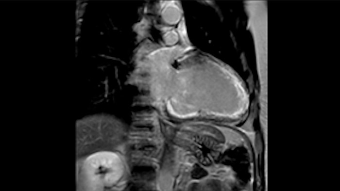
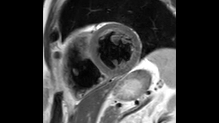
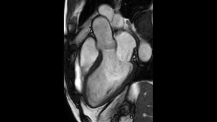
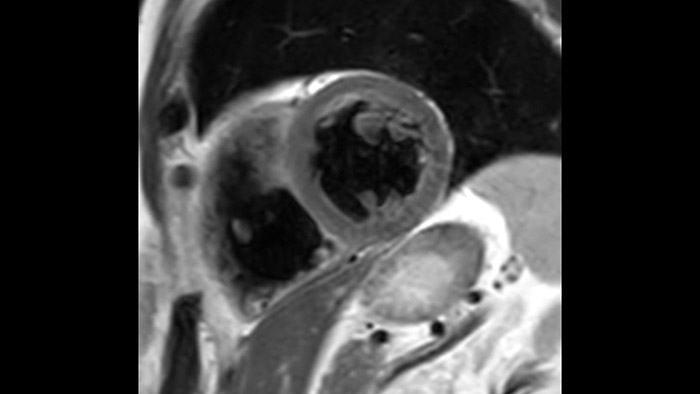
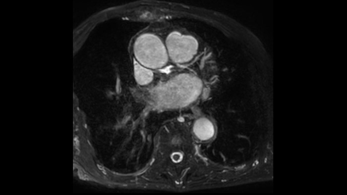
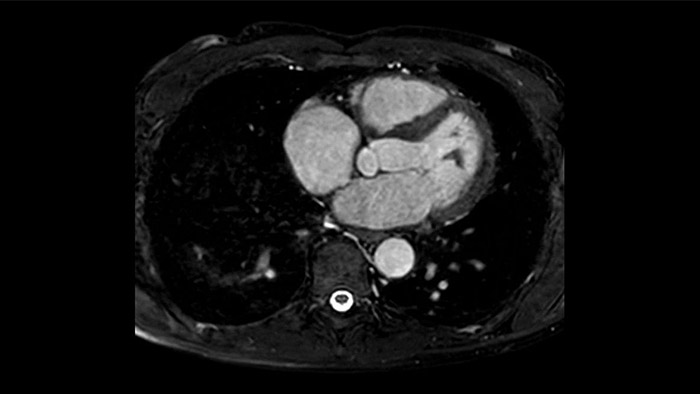
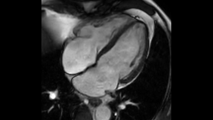
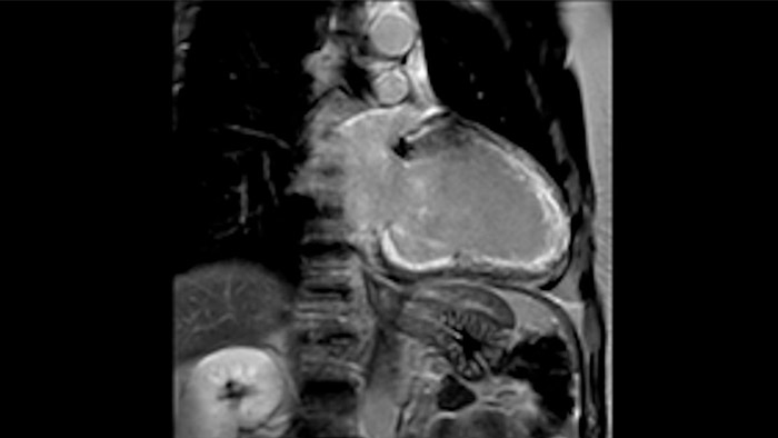
Diagnostic and prognostic utility of cardiac MR is increasing. Assess the anatomy and function of the heart using cine acquisitions, acquire information about perfusion and viability of the cardiac tissue, visualise potential edema with black blood sequence, access and even quantify tissue characterisation with CardiacQuant.

VitalScreen provides not only guidance in the placement of the coil, it also offers the possibility to see the ECG signal already in the scanner room. When performing a stress perfusion scan, you do not need to leave the scanner room to monitor the heartrate.

Cardiac examinations contain a lot of breath hold commands. AutoVoice eliminates these repetitive tasks for the MR technologist. In combination with VitalEye, breath hold commands are triggered within the natural breathing cycle of the patient, providing superior image quality2 and a better patient experience.

Pacemakers are not a hard contra-indication for CMR, there are many MR Conditional pacemakers. ScanWise Implant3 offers step-by-step guidance to enter condition values of the implant manufacturer and automatically apply these values to the entire examination. Simplifying your scanning process for patients with MR Conditional implants.

In-bore Connect provides real-time information and guidance to the patient during scanning, enhancing compliance. A personalised progress bar indicates duration and information about scan progress while comfortable headphones allow patients to receive breath hold cues. An immersive video experience distracts and entertains patients while lying in the bore.

Since cardiac patients are usually quite sick, it is even more important to create a patient friendly environment. Ambient Experience solutions is a holistic approach, providing an immersive, multisensory experience. Patients can personalise the MR examination room with dynamic lighting, projection and sounds. This creates positive distraction and reduces stress.

Offer a comfortable table experience to your patients thanks to the ComfortPlus mattress. An average of 90% of patients in severe discomfort finds it easy to lie still on the ComfortPlus mattress during the exam. The clinical images obtained using the ComfortPlus mattress are of a similarly high diagnostic quality to those acquired witha standard table mattress.

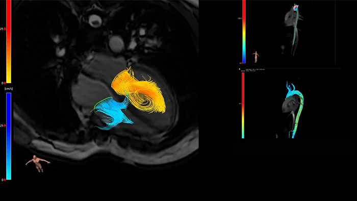
IntelliSpace Portal MR Caas5,6 4D Flow post-processing solution enables generation of 3D volume reconstructions, to visualise and evaluate blood flow in cardiovascular structures, including heart valves, chambers, and vessels, based on cardiovascular MR 4D Flow imaging.

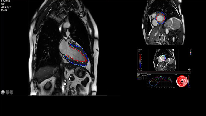
IntelliSpace Portal MR Caas5,6 Strain7 assists in patient diagnosis and monitoring by providing global strain parameters such as global longitudinal strain (GLS), global circumferential strain (GCS), and global radial strain (GRS), using short and long axis MR images, as well as describing the myocardium deformation- such as shortening, thickening, and lengthening during the cardiac cycle.

Clinical cases from nearly every anatomy Explore 100+ clinical cases from your peers around the globe, that showcase how Philips MR digital technology strengthens your imaging needs.
1. Average RV/LV analysis time measured on validation study 4.2 min +/- 0.4 2. Compared to Philips belt-based signal. Requires an unobstructed line of sigh 3. Only for use with MR Safe or MR Conditional Implants by strictly following the Instructions For Use 4. Compared to scans without Philips Compressed SENSE 5. Caas is a trademark of Pie Medical Inc. 6. These functionalities may not be available in all territories. Please contact your Philips representative for more details. 7. Not available for US.
You are about to visit a Philips global content page
Continue